「痛い/外れる/噛めない」
これは本当の入れ歯ではありません
当院の入れ歯は下記の特徴があります
- 目立ちにくい入れ歯
- しっかり噛める入れ歯
- 痛みが少ない入れ歯
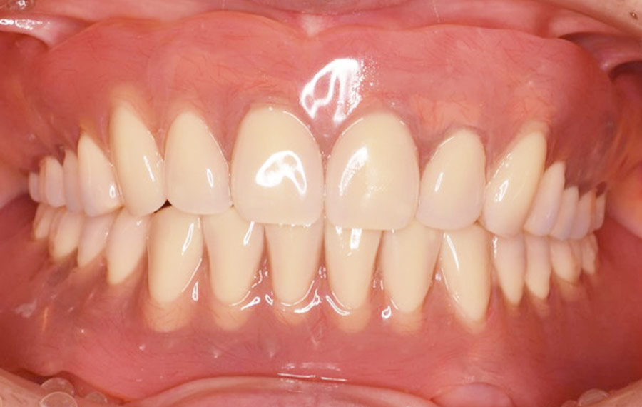
コーヌスデンチャー

お問い合わせ・ご予約 03-3682-1007 ※インプラント治療と矯正治療のご予約の方はWEB予約ができません。お電話でのご予約をお願いします。
| 診療時間 | 月 | 火 | 水 | 木 | 金 | 土 | 日 | 祝 |
|---|---|---|---|---|---|---|---|---|
| 09:00 ~ 13:00 | ● | ● | ● | ● | ● | ● | / | / |
| 14:30 ~ 18:30 | ● | ● | ● | ● | ● | ● | / | / |
「平井駅」徒歩2分





コーヌスデンチャー


本来、入れ歯は幅広い症例に対応できる優れた治療法です。しかし、患者さんの多くは次のような悩みをお持ちではないでしょうか。
噛むと痛みが出るため食事を楽しめない・・・
隙間に食べ物が挟まって痛い・・・
異物感があって喋りにくい・・・
外れやすいため、人の前で使いづらい・・・などなど
なぜ、こうしたことが起こるのでしょうか。それは、入れ歯の「厚さ」「ズレ」「変形」が理由です。それぞれ詳しくご紹介します。

お口の中と言うのは非常に繊細にできています。例えばですが、髪の毛が1本でも口の中に入るとすぐに気が付きますよね?髪の毛よりも厚みのある入れ歯をお口の中に入れれば、当然、違物感がありますし、喋りづらさや飲み込みづらさといった問題も起こりやすくなります。

お口の形と入れ歯の形にズレがある場合、外れやすく、また隙間に食べ物が挟まりやすくなります。このズレ、実は入れ歯を製作した直後から発生していることもあります。つまり、制作工程や精度に問題があるということです。

保険適用の入れ歯は「レジン(プラスチック)」という素材を使用します。このレジンは、長期間の使用すると「ゆがみ」や「たわみ」を起こすことがあります。これらが原因となって、咀嚼時の不快な痛みや、食べ物が入れ歯と歯茎の間に詰まる、あるいは入れ歯がずれるといったトラブルが生じます。
しかし、これらの問題は解決することが可能です。さらに、解決することで「しっかり噛める」「痛くない」「外れない」以外にも次のようなメリットが生まれます。

■「食べ物の味・温度」をしっかりと感じられる
食べ物の「味覚」「温度」を感じられるようになるため、食事を美味しくいただけます。
■「誤嚥性肺炎」のリスクを軽減
噛めない入れ歯は「噛む機能」そして「飲み込む力(嚥下)」も低下させてしまいます。そのため、食べ物が気管に入ることで発症する「誤嚥性肺炎」のリスクが高まります。噛める入れ歯にすることで、このリスクを回避できます。

当院では、患者さんのお口に最適な入れ歯を作るための体制を整えています。具体的には次の通りです。
☑機能性の回復
☑診断用義歯の使用
☑CTによる分析
それぞれご説明します。

しっかり噛める入れ歯には次のような効果があります。
●口元の「若返り」効果
お口にフィットした入れ歯を使用することで、ほうれい線やしわが改善され、口元が若返ります。
●「噛む能力」の向上
噛める位置と噛み合わせを調整すると物を噛む力が向上します。
●「嚥下機能(飲み込む力)」の向上
口腔内の筋肉(舌・頬)が改善され、嚥下能力が向上します。
このような効果が得られる理由は何だと思いますか?一般的な入れ歯製作の工程と比較してながらご説明します。
一般的な入れ歯製作と、診断用義歯を活用した場合、治療工程は以下のようになります。

ご覧の通り、その違いは治療工数にあります。一般的な入れ歯は歯型を取ったら、そのまま入れ歯を製作します。しかし、当院では、歯型を取った後に「治療用用義歯」を作製します。
なぜ、あえてこの工程を踏むのか。その理由は、噛み合わせの「ズレ」を解消するためです。歯をぬけたままにしたり、合わない入れ歯を使い続けると、本来の噛み合わせから徐々にズレが生じます。このズレを正さないまま入れ歯を作れば、お口に合わない入れ歯が出来上がるのは当然です。
当院では、まずこのズレを解消した上で入れ歯を製作していきます。

入れ歯が適切な機能を果たすためには、顎の動きや筋肉の働きなどのバランスを細かく考慮する必要があります。そのため、当院では「CTスキャン」を活用しています。従来のレントゲンでは平面的な2次元イメージしか得られませんが、CTを活用することで立体的な3次元イメージを得ることができます。これにより、顎の動きや形状をより正確に理解し、それに基づいた入れ歯の製作が可能になります。

当院では、患者さんのニーズにお応えするために、さまざまな種類の入れ歯をご用意しています。それぞれご紹介します。
そもそも入れ歯が目立つ理由は、入れ歯を支えている金属のバネにあります。この金属のバネを、歯茎と馴染みやすいピンク色の樹脂にしたのが「ノンクラスプデンチャー」と呼ばれる入れ歯です。お口に自然と馴染むので、人前でお話される機会が多い方や、接客業の方などでも、安心してお使いいただけます。当院では、さまざまなノンクラスプデンチャーを揃えております。

ノンクラスプデンチャーには調整や修理がしにくいというデメリットがあります。しかし、エステショットは調整や修理が簡単にできるため、患者さんの経済的負担が軽減されます。
また、他のノンクラスプデンチャーよりも硬い素材でできるいるため、次のようなメリットもあります。
☑噛む力を歯肉に伝えやすい
☑表面が傷付きにくい
☑変色しにくい
☑劣化しにくい

スマイルデンチャーは透明感があり、歯茎の色とよく馴染みます。そのため、口元が綺麗に見えるというメリットがあります。また、強度・柔軟性ともに高く、薄く作製できるというメリットもあります。

「アルティメット」という耐久性・耐熱性に優れた樹脂を使用した入れ歯です。長時間使用しても痛みにくく、煮沸消毒も可能です。入れ歯の劣化の原因となる水分の吸収が少ないため、耐久性を求める方にお勧めです。

ノンクラスプデンチャーは目立ちにくいというメリットがある一方、金属の入れ歯と比べると耐久性に劣るというデメリットがあります。そこで、必要に応じて目立たない部分に金属を使用することで、耐久性を高めます。

ゴムのように柔らかく弾力のあるシリコンを使用した入れ歯です。ノンクラスプデンチャーの裏側にシリコンを貼り付けることで、次のようなメリットがあります。
☑歯茎が痛くなりにくい
☑シリコンが痛みを軽減するため、硬いものでも噛みやすくなる
☑シリコンの吸着性により、他の入れ歯よりも外れにくい

お口に残っている歯根に金属を装着し、磁石のついた入れ歯をはめ込みます。磁力で入れ歯を固定するため、外れにくいだけではなく、目立ちにくく、入れ歯自体を小さくできるために違和感を軽減できます。



2~4本のインプラントを埋め込み、入れ歯を固定します。入れ歯自体は取り外しができるため、お手入れも簡単です。通常のインプラント治療よりも身体的・経済的負担を軽減しながら、まるで自分の歯のような噛み心地が得られます。

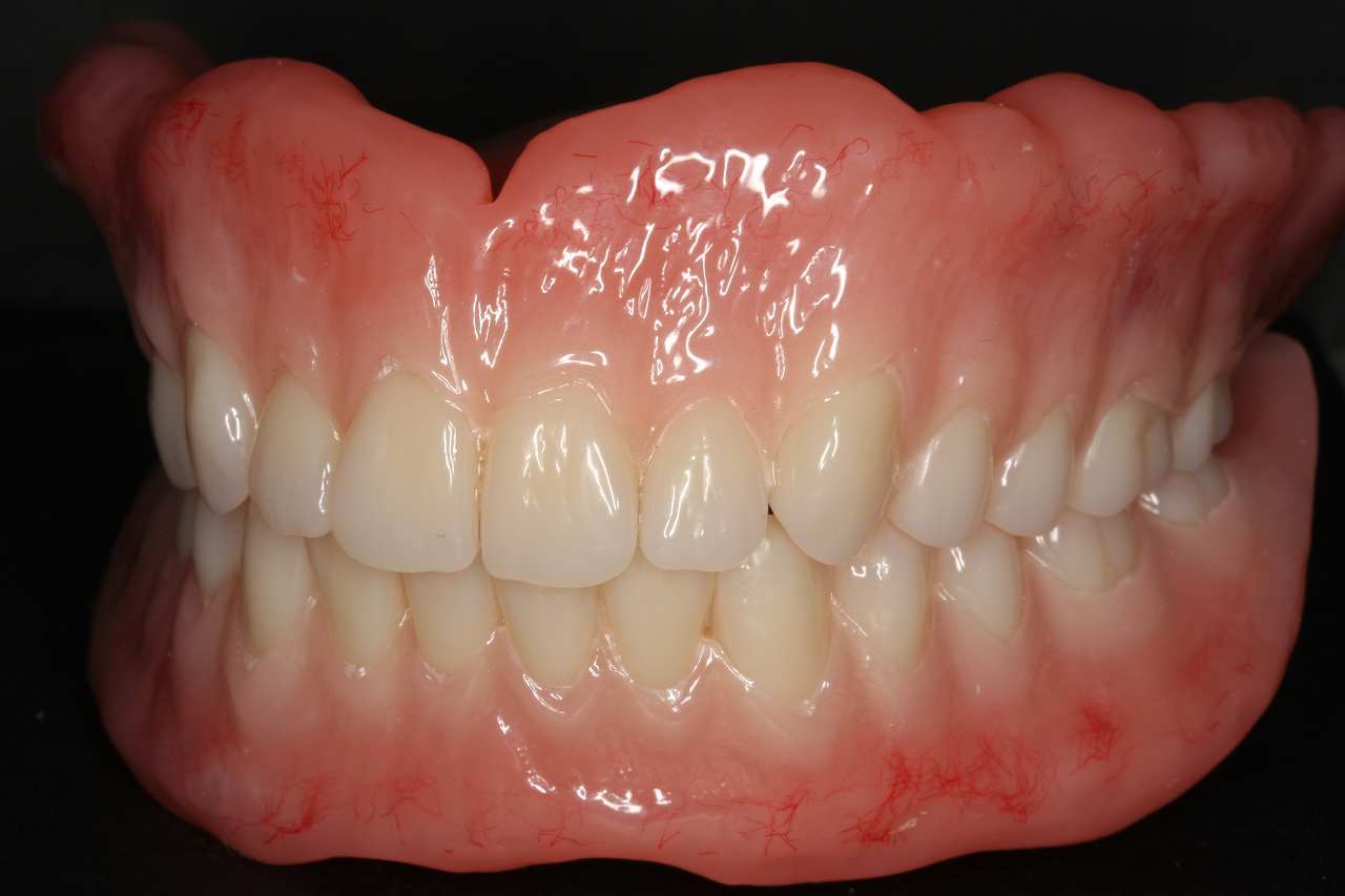
コーヌスクローネ義歯は、自分の歯に合わせて作られた筒状のキャップを土台として使用し、その上に入れ歯をスムーズにはめ込んで固定して使用する入れ歯です。金属のバネを使用しないため、見た目が気にならない上に、簡単に取り外せるのでお手入れも簡単です。

BPSデンチャーは、精密な検査をもとに、患者さんのお口に合わせて製作するフルオーダーメイドの入れ歯です。
お口の状態はもちろん、顎や筋肉の動き、噛み合わせや発音などを細かく確認しながら製作するため、使い心地はもちろん、見た目も自然な仕上がりになります。

柔軟性に優れたシリコン素材を使用した義歯で、お口にフィットしやすく快適な装着感が特徴です。耐久性も高く、自然な見た目を実現します。
当院では、患者さんが抱えていらっしゃるお口のお悩みや疑問・不安などにお応えする機会を設けております。どんなことでも構いませんので、私たちにお話ししていただけたらと思います。
ご興味がある方は下記からお問い合わせください。
