白い詰め物・被せ物

お問い合わせ・ご予約 03-3682-1007 インプラント治療と矯正治療のご予約の方はWEB予約ができません。お電話でのご予約をお願いします

診療時間
09:00 ~ 13:00//
14:30 ~ 18:30//

「平井駅」徒歩2分

WEB予約

メニュー

キービジュアル

日本顎咬合学会「認定医」が在籍

美しいだけの歯に意味はありません
しっかり噛めて美しい歯」を追求します

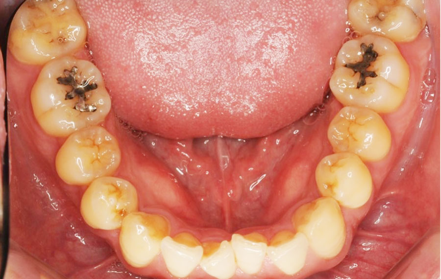
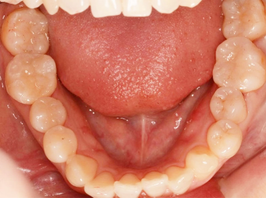
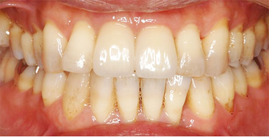
  • 治療前
  • 治療後
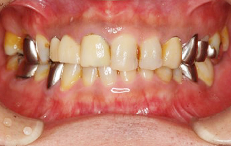
  • 治療前
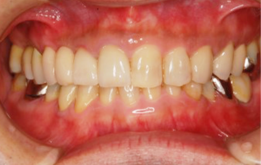
  • 治療後
  • 治療前
  • 治療後

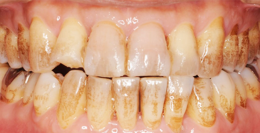
コラム「短期間」で「白い歯」を手に入れたい方へ

「詰め物の変色が気になる・・・」
「前歯のすきっ歯がを改善したい・・・」
「前歯が欠けてしまった・・・」

といった部分的な歯の問題治療におすすめなのが「ダイレクトボンディング法」です。歯を削る量を最小限に抑え、歯の色に合わせた樹脂(レジン)で修復していきます。

従来のセラミック治療と比べ、来院回数も少なく、費用も抑えられるため、患者さんにとってメリットの多い治療法です。適応できるケースは限られますが、ご興味のある方はぜひご一度当院にご相談ください。

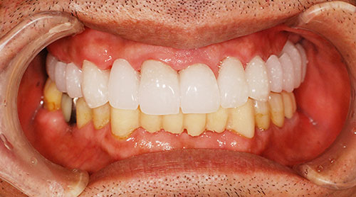
  • 治療前
  • 治療後

ダイレクトボンディング

  • 治療前
  • 治療後

ダイレクトボンディング+オールセラミック

当院の審美治療の「こだわり」

画像

当院のセラミック治療は美しさだけではなく「咬み合わせ」等を考慮した、しっかり噛める歯を追求しています。例えば、咬み合わせが悪いと、頭痛や肩の痛み、腰の不調などの「身体の不調」が起こることがあります。せっかく美しい歯を手に入れてもこれでは意味がありません。当院のこだわりについてご説明します。

こだわり1日本顎咬合学会「認定医」が在籍

日本顎咬合学会「認定医」下記の要件を満たした歯科医師に与えられる資格です。

(1)日本国の歯科医師免許を取得後満4年以上、かつ顎咬合学およびこれに関連する領域の歯科臨床に満4年以上従事していること.
(2)等学会に継続して満3年以上の会員歴があること.
(3)等学会の咬み合わせ認定試験に合格した者.

また、この資格は5年毎に資格の更新手続きを行わなければなりません。つまり、継続して知識、技術を研磨しなければ保有できない資格です。

  • 画像
  • 画像

こだわり2TRIOSによる精密印象

画像

従来の型取りは、印象材と呼ばれる粘土のようなものを使用していました。嘔吐反射の強い患者さんにとってこれは負担が大きく、また、型取りの精度自体も高いとは言えませんでした。そこで当院では、快適かつ精密な型取りを行うため「TRIOS」という装置を導入しています。TRIOSを活用することで、次のメリットが得られます。

メリット1 型取りの精度が高い

画像

ペン型のカメラでお口の中をスキャニングするだけで、口腔内の情報を3Dイメージをリアルタイムで取得します。デジタル技術を使用するため、非常に高い精度で歯の形をキャプチャすることが可能です。スキャン結果は即座に表示され、必要に応じて調整ができます。

メリット2 嘔吐反射が少ない/治療期間の短縮

画像

お伝えしているように、ペン型のカメラで撮影するだけですので、従来の型取りよりも短時間で撮影が可能です。
また、口腔内の圧迫感も少ないため、嘔吐反射が強い方でも快適にお口の型取りを行うことができます。

こだわり3マイクロスコープ/高倍率ルーペの活用

画像"
画像

天然歯と被せ物との間にはどうしても「隙間」が生じます。この隙間から虫歯菌が侵入し、被せ物の下で虫歯が進行しているケースがあります。それを防ぐために、当院では、マイクロスコープ高倍率ルーペを活用しています。これらは、視野を数倍~十数倍にも拡大してくれてます。例えば、下記はマイクロスコープと肉眼の比較です。

ご覧いただくと、その違いが一目瞭然だと思います。この違いが治療の精度を左右するのです。

こだわり4患者さんとイメージのすり合わせ

画像"

審美治療において、患者さんの理想を追求するのは当然です。当院では、可能な限り患者さんの希望に近づけるため、各工程でのイメージのすり合わせを大切にしています。具体的にご説明します。

治療前の「カウンセリング」の徹底

画像

治療を始める前に患者さんのご希望や理想とするイメージを固めていきます。具体的には、模型や過去の症例をご覧いただきながらイメージを共有していきます。

「セットアップ模型」を活用したイメージのすり合わせ

画像

患者さんの歯の印象を取り、その型をもとにして歯の形状配置のイメージを明確に合わせていきます。

「仮歯」を使用したイメージのすり合わせ

画像

特に審美性が重要な前歯の治療の場合、最終的な被せ物を製作する前段階として、仮歯を用いて歯の形状、配列、そして咬合の微調整を行います。

「主観的な美」と「客観的な美」の融合

画像"
画像

先ほど、患者さんの理想のイメージを追求するというお話をしました。しかしこれは、患者さんが美しいという「主観的な美」だけを追求することになってしまいます。当院では、さらなる美を実現するために、プロの目線から導く「客観的な美」を融合したセラミック治療を行っています。

その理由は、患者さんが美しくなりたいという気持ちの根底に「周りから美しいと思われたい」という気持ちがあるからだと考えているからです。それらを達成するポイントをご紹介します。

Point1唇と歯の関係(Lip to Tooth Relationship)

画像

笑ったとき、下唇のアーチと歯並びのアーチを一致させることで、口元の美しさを際立たせることができます。
著者: 山崎長郎 クインテッセンス出版: エステティック クラシフィケーションズ より引用

Point2ゴールデンプロポーション(Golden Proportion)

画像

前歯の幅を「中切歯:側切歯:犬歯=1.6:1:0.6」の割合で配列すると、審美性が向上します。

Point3正中線と歯並びのバランス(Median line)

画像

正中線とは、顔の真ん中のラインのことです。上の前歯の中心ラインを正中線に合わせると、全体的にバランスが取れた歯並びになります。

Point4生物的幅径(Biological width diameter)

画像

口元の美しさには「歯茎」も重要な役割を担っています。
当院では歯茎の生物学的幅径に考慮した、適合性の良い被せ物を製作しています。

まずは「対話」からはじまります

画像

美しさには、患者さんが感じる「主観的美」と周囲が見た時に感じる「客観的美」の二種類が存在します。主観的な美は患者さんが望む美しさを指しますが、それだけに注目してしまうと自己満足に陥る恐れがあります。

審美治療において、患者さんの感覚を超えた美、つまり客観的な美しさの追求も大切です。この客観的な美しさを専門的に評価し、分析するのが私たちプロの役目です。

当クリニックでは、

どのような白さが良いのか
患者さんに似合う色調はどれか
患者さんが今回の治療で達成したいことはなにか

などについてじっくりと時間をかけて詳細に伺います。
ご質問や不安な点があれば、遠慮なくお問い合わせください。この対話が治療の精度そして満足度に大きく関係します。

笑うと「歯茎」が見えるガミースマイル

画像"

笑った際に過度に歯茎が見える症状を歯科用語で「ガミースマイル」と言います。人によってはこの症状が気になり、思いっきり笑えないという患者さんもいらっしゃいます。当院では、このようなガミースマイルの治療も提供しておりますので、どうぞ遠慮なくご相談ください。

初診「個別」相談へのご案内

当院では、患者さんが抱えていらっしゃるお口のお悩みや疑問・不安などにお応えする機会を設けております。どんなことでも構いませんので、私たちにお話ししていただけたらと思います。
ご興味がある方は下記からお問い合わせください。

「平井駅」より徒歩2

03-3682-1007

  • WEB予約
  • メール相談

このページの先頭に戻る